Bệnh viện Đa khoa
Bình Thuận
Đ/c: Đường Tôn Thất Bách, Phường Bình Thuận, Tỉnh Lâm Đồng
Gọi ngay để được hỗ trợ trực tiếp 24/7
Hotline
: 0252 38 22 733
Hỏi - Đáp
Liên hệ
Bệnh viện Đa khoa Bình Thuận
Về chúng tôi
Ban giám đốc
Sơ đồ tổ chức
Khoa - Phòng
Phòng kế hoạch tổng hợp
Phòng điều dưỡng
Phòng vật tư, thiết bị y tế
Phòng hành chính quản trị
Phòng tổ chức cán bộ
Phòng tài chính kế toán
Khoa nội tổng quát
Khoa ngoại tổng quát
Khoa khám bệnh
Khoa Hồi Sức Tích Cực – Chống Độc
Khoa nhi
Khoa y học cổ truyền
Khoa tâm thần
Khoa Tai - Mũi - Họng
Khoa truyền nhiễm
Khoa vật lý trị liệu phục hồi chức năng
Khoa phẫu thuật – gây mê hồi sức
Khoa phụ sản
Khoa răng – hàm – mặt
Khoa mắt
Khoa xét nghiệm
Khoa thăm dò chức năng
Khoa chẩn đoán hình ảnh
Khoa chống nhiễm khuẩn
Khoa dược
Khoa dinh dưỡng
Văn bản
Công văn
Quyết định
Nghị Định
Thông tư
Thông báo
Thông báo
Đấu thầu
Giá viện phí
Tin văn bản
Tin tức
Tin tức y dược
Tuyển dụng
Tin tức bệnh viện
Phác đồ điều trị
Báo chí nói gì về bệnh viện
Dịch vụ y khoa
Hỏi đáp
Thư viện
Hình Ảnh
Video - Clips
Thư viện điện tử
Liên hệ
Bệnh viện Đa khoa Bình Thuận
Về chúng tôi
Khoa - Phòng
Văn bản
Thông báo
Tin tức
Hỏi đáp
Thư viện
Liên hệ
Số hiệu:
Trang chủ
Tin tức
Tin tức y dược
MÁU TỤ NGOÀI MÀNG CỨNG
Hủy bỏ
Hotline: 0252 38 22 733
Bệnh viện Đa khoa Bình Thuận
Trang chủ
Về chúng tôi
Ban giám đốc
Sơ đồ tổ chức
Khoa - Phòng
Phòng kế hoạch tổng hợp
Phòng điều dưỡng
Phòng vật tư, thiết bị y tế
Phòng hành chính quản trị
Phòng tổ chức cán bộ
Phòng tài chính kế toán
Khoa nội tổng quát
Khoa ngoại tổng quát
Khoa khám bệnh
Khoa Hồi Sức Tích Cực – Chống Độc
Khoa nhi
Khoa y học cổ truyền
Khoa tâm thần
Khoa Tai - Mũi - Họng
Khoa truyền nhiễm
Khoa vật lý trị liệu phục hồi chức năng
Khoa phẫu thuật – gây mê hồi sức
Khoa phụ sản
Khoa răng – hàm – mặt
Khoa mắt
Khoa xét nghiệm
Khoa thăm dò chức năng
Khoa chẩn đoán hình ảnh
Khoa chống nhiễm khuẩn
Khoa dược
Khoa dinh dưỡng
Văn bản
Công văn
Quyết định
Nghị Định
Thông tư
Thông báo
Thông báo
Đấu thầu
Giá viện phí
Tin văn bản
Tin tức
Tin tức y dược
Tuyển dụng
Tin tức bệnh viện
Phác đồ điều trị
Báo chí nói gì về bệnh viện
Dịch vụ y khoa
Hỏi đáp
Thư viện
Hình Ảnh
Video - Clips
Thư viện điện tử
Liên hệ
0252 38 22 733
https://zalo.me/02523822733
https://www.facebook.com/benhviendakhoatinhbinhthuan
https://maps.app.goo.gl/KEvCJRg6TgcsALyS9
MÁU TỤ NGOÀI MÀNG CỨNG
Lượt xem: 105
Ngày đăng: 04/11/2025 10:49
MÁU TỤ NGOÀI MÀNG CỨNG
I. ĐẠI CƯƠNG VÀ DỊCH TỄ
Là
biến chứng nguy hiểm của chấn thương sọ não (CTSN)
.
Gặp nhiều ở
người lớn, tuổi 10–30
,
ít gặp ở trẻ em và người già
.
Nguyên nhân thường do vỡ động mạch màng não giữa
(ở vùng thái dương).
Trên lều chiếm đa số
,
dưới lều tiểu não hiếm hơn
.
Ở
trẻ em
, màng cứng không dính chặt → ít đứt mạch, nên ít gặp.
Ở người lớn
, màng cứng dính chặt → dễ tổn thương mạch khi nứt sọ.
II. SINH LÝ BỆNH
Máu tụ giữa
xương sọ và màng cứng
, chèn ép nhu mô não.
Trên lều:
thường do
động mạch màng não giữa
.
Dưới lều:
thường do
tĩnh mạch màng cứng hoặc xoang tĩnh mạch
, chảy máu chậm hơn.
Hố sau: dễ gây
tăng áp lực nội sọ sớm
, cản trở lưu thông dịch não tủy.
III. TRIỆU CHỨNG LÂM SÀNG
Khoảng tỉnh (lucid interval)
: 60–70% trường hợp.
→ Bệnh nhân bất tỉnh lúc đầu, sau tỉnh lại, rồi dần hôn mê do khối máu tăng lên.
Đau đầu tăng dần
, buồn nôn, nôn, ngủ gà, lơ mơ.
Dấu thần kinh khu trú
: liệt nửa người, giãn đồng tử cùng bên khối máu.
Ở trẻ em:
thường chỉ có đau đầu, ít dấu khu trú.
Dấu gợi ý MTNMC:
Chấn thương đầu
Có khoảng tỉnh
Đường nứt sọ trên phim CT scanner
Đau đầu kéo dài không đáp ứng thuốc
Dấu thần kinh khu trú
IV. CẬN LÂM SÀNG
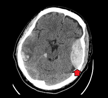
CT Scan không cản quang
: tiêu chuẩn vàng (gold standard).
→ Hình ảnh
khối tăng đậm độ, dạng thấu kính hai mặt lồi (biconvex)
, không vượt qua đường khớp sọ.
X-quang sọ tư thế Towne:
giúp phát hiện đường nứt chẩm hoặc dưới chẩm.
Mạch não đồ
: ít giá trị, chỉ dùng khi khó chẩn đoán.
V. ĐIỀU TRỊ
1. Nguyên tắc
Phẫu thuật sớm
là yếu tố quyết định tiên lượng.
Cần “
cướp lấy thời gian vàng
” – mổ càng sớm, tỉ lệ sống càng cao.
2. Điều trị bảo tồn
Chỉ khi:
Khối máu < 30 g
GCS = 15
Không di lệch đường giữa
→ Theo dõi lâm sàng và chụp CT Scan định kỳ.
3. Phẫu thuật
Mở nắp sọ (craniotomy)
hoặc
gặm sọ rộng (craniectomy)
tùy vị trí, thể tích.
Cầm máu triệt để
, tránh tổn thương xoang tĩnh mạch.
Kiểm tra máu tụ dưới màng cứng nếu nghi ngờ.
Đặt dẫn lưu ngoài màng cứng.
Treo màng cứng
để tránh tái tụ máu.
VI. BIẾN CHỨNG
1. Trong mổ:
Hạ huyết áp, thiếu oxy não
→ tổn thương thứ phát.
Cần phối hợp chặt chẽ với bác sĩ gây mê hồi sức.
2. Sau mổ:
Tái tụ máu
,
phù não
,
tụt lưỡi
,
xẹp phổi
do giảm thông khí.
Theo dõi bằng
monitor
và
CT kiểm tra sau mổ
.
Nếu bệnh nhân không tỉnh → chụp lại CT ngay.
VII. TIÊN LƯỢNG
Nếu phát hiện và mổ sớm →
tỉ lệ sống 70–80%, ít di chứng.
Nếu kèm dập não, máu tụ dưới màng cứng, hoặc mổ trễ → tiên lượng xấu hơn.
VIII. KẾT LUẬN
MTNMC là
biến chứng thường gặp và nguy hiểm của chấn thương sọ não
.
CT Scan giúp chẩn đoán chính xác
, định hướng điều trị.
Phẫu thuật kịp thời
quyết định khả năng hồi phục và giảm tử vong.
[KHOA: NGOẠI THẦN KINH]
Chia sẻ bài viết này
Chia sẻ
Đã copy
Bài viết cùng loại
Những điều cần biết về phẫu thuật đục thủy tinh thể
12/03/2026 09:42
CẢNH BÁO VÀ QUY TRÌNH ỨNG PHÓ VỚI BỆNH DO VI RÚT NIPAH TẠI BỆNH VIỆN ĐA KHOA BÌNH THUẬN
11/03/2026 02:24
KHOA KHÁM, QUẢN LÝ CHĂM SÓC SỨC KHỎE CÁN BỘ: GỬI TRỌN TÌNH XUÂN TRONG TỪNG LỜI THĂM KHÁM
24/02/2026 09:02
TỦ THUỐC GIA ĐÌNH NGÀY TẾT
11/02/2026 08:32
KHOA KHÁM, QUẢN LÝ CHĂM SÓC SỨC KHỎE CÁN BỘ: GÓI GHÉM VỊ TẾT, GỬI TRAO TÂM TÌNH
09/02/2026 02:27
BỘ PHẬN DLS - THÔNG TIN THUỐC TH1.2026
04/02/2026 10:56
CẢNH GIÁC DƯỢC: Nguy cơ phù mạch đường ruột khi sử dụng các thuốc ức chế men chuyển (ACEI) và thuốc chẹn thụ thể angiotensin II (ARB)
04/02/2026 10:48
CẢNH GIÁC DƯỢC: Thuốc lợi tiểu hydrochlorothiazid và nguy cơ ung thư da
04/02/2026 10:43
Những ngày cuối năm
03/02/2026 10:20
Điều trị bàn chân khoèo sớm với phương pháp Ponseti
03/02/2026 10:01
PHẪU THUẬT THÀNH CÔNG 2 TRƯỜNG HỢP XƯƠNG CÁ ĐÂM THỦNG ĐƯỜNG TIÊU HÓA GÂY BIẾN CHỨNG NGUY HIỂM
03/02/2026 09:14
SURFACTANT – HƠI THỞ ĐẦU ĐỜI CHO TRẺ NON THÁNG
12/01/2026 02:01
Thể Loại Khác
Tuyển dụng
Tin tức bệnh viện
Phác đồ điều trị
Báo chí nói gì về bệnh viện
Dịch vụ y khoa
Đặt lịch hẹn
Đặt lịch khám:
0252 38 22 733
Hotline:
Bài viết được xem nhiều nhất
Lịch sử bệnh viện
🌸DA KỀ DA KHI SINH MỔ – KHOẢNH KHẮC KỲ DIỆU CỦA MẸ VÀ CON 🌸
Thông báo 1537 TB - BVBT thông báo tuyển dụng hợp đồng lao động 9.2024
Thông báo 980 tuyển dụng hợp đồng lao động T5.2025
Thông báo cơ sở khám chữa bệnh đáp ứng yêu cầu là cơ sở hướng dẫn thực hành
Quy trình kỹ thuật tâm thần
Quy trình kỹ thuật 26 bệnh thường gặp
Mở rộng thực tập y khoa cho sinh viên