🧠 CẢNH GIÁC VỚI MÁU TỤ DƯỚI MÀNG CỨNG CẤP
Máu tụ dưới màng cứng cấp là tình trạng máu chảy và tích tụ giữa màng cứng và màng nhện của não, thường xảy ra sau chấn thương đầu. Đây là cấp cứu ngoại thần kinh nguy hiểm, có thể đe dọa tính mạng nếu không được phát hiện và xử trí kịp thời.
⚠️ Nguyên nhân thường gặp
-
Tai nạn giao thông, té ngã, chấn thương đầu do va đập mạnh.
-
Người lớn tuổi, người dùng thuốc chống đông máu có nguy cơ cao hơn.
🚨 Dấu hiệu nhận biết
-
Đau đầu dữ dội, nôn ói.
-
Lơ mơ, rối loạn ý thức, ngủ gà hoặc hôn mê.
-
Yếu liệt tay chân, nói khó, co giật.
🏥 Xử trí
-
Đưa ngay người bệnh đến cơ sở y tế có khả năng chụp CT sọ não và phẫu thuật thần kinh.
-
Tuyệt đối không tự điều trị hoặc chờ đợi tại nhà.
💬 Phòng ngừa
-
Đội mũ bảo hiểm đúng cách khi tham gia giao thông.
-
Phòng chống té ngã ở người cao tuổi.
-
Kiểm tra và điều chỉnh liều thuốc chống đông theo chỉ định bác sĩ.
👉 Phát hiện sớm – Cấp cứu kịp thời – Giữ trọn sự sống!
Trường hợp ca bệnh
Bệnh nhân nam N.V.H 39 tuổi bị tai nạn giao thông hôn mê được đưa vào viện trong tình trạng: Bệnh nhân mê. Vết thương trán trái đang chảy máu, đồng tử 2 bên 3mm phản xạ ánh sáng yếu (Tình trạng chèn ép não nặng). Tình trạng nguy kịch đe dọa tính mạng. Bệnh nhân được tiến hành xử lý cấp cứu và hội chẩn khẩn Ngoại Thần Kinh có chỉ định mổ cấp cứu mở sọ giải ép lấy máu tụ bán cầu phải với chẩn đoán: Máu tụ dưới màng cứng cấp bán cầu phải.
Hậu phẫu tri giác bệnh nhân cải thiện, kêu gọi mở mắt, có đáp ứng với y lệnh, đồng tử 2 bên 3mm phản xạ ánh sáng tốt và được điều trị theo dõi hậu phẫu tiếp tục.

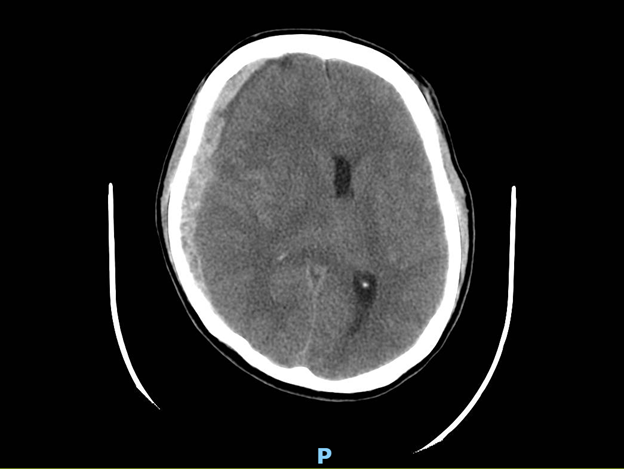
Hình 1: Phim CT scan sọ não trước mổ (lớp máu tụ dưới màng cứng đè ép não, đẩy lệch đường giữa)

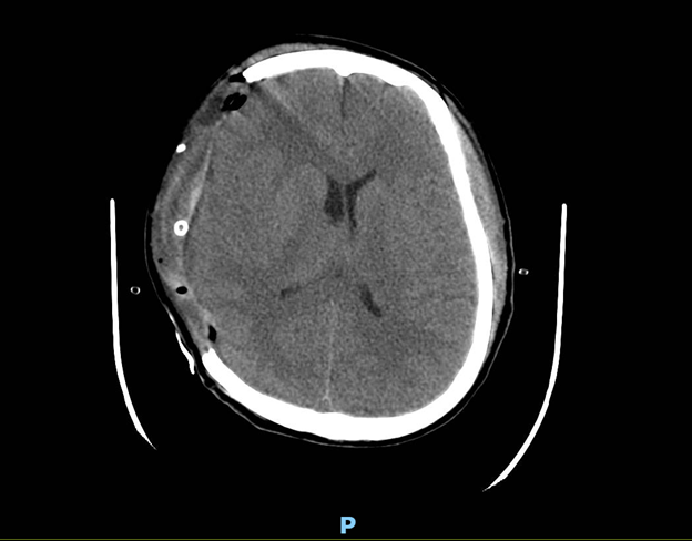
Hình 2: Phim CT scan sọ sau mổ (Máu tụ đã được loại bỏ, não không còn bị đè ép bởi máu tụ, đường giữa về lại vị trí cũ)
Trung bình mỗi năm Bệnh viện đa khoa Bình Thuận xử trí cấp cứu khoảng 30 ca chấn thương sọ não với chẩn đoán Máu tụ dưới màng cứng cấp. Với kết quả tốt trên phần lớn bệnh nhân, cứu tính mạng bệnh nhân, giúp bệnh nhân trở lại với cuộc sống.
.jpg)
[KHOA: NGOẠI THẦN KINH]